Actualité Le concept de grand flexion et le mini-abord dans l'arthroplastie totale du genou , Jean-Noël Argenson Centre de Chirurgie de l’Arthrose - Hôpital Sainte Marguerite, Université Aix-Marseille II, Marseille, France , Xavier Flecher Hôpital Sainte Marguerite, Université Aix-Marseille II, Marseille, France , Sébastien Parratte Centre de Chirurgie de l’Arthrose, Hôpital Sainte Marguerite, Université Aix-Marseille II, Marseille, France , S. Airaudi Clinique Monticelli - 88 rue du Commandant Rolland - 13008 MARSEILLE , J.-M. Aubaniac Centre de Chirurgie de l’Arthrose - Hôpital Sainte Marguerite, Université Aix-Marseille II - Marseille N°148 - Novembre 2005 ● 16 min de lecture
Histoire Mémoires de l'Académie de Chirurgie - Séance du 2 novembre 1938 , M. Louis Bazy Publiés chaque semaine par M. Louis Bazy, Secrétaire général, MM. Henri Mondor et Louis Houdard, Secrétaires annuels Tome 64 – N° 26 N°148 - Novembre 2005 ● 9 min de lecture
Histoire Paul Dautry chirurgien , Levon Doursounian Hôpital Saint-Antoine, 75012 Paris, France 🖂 levon.doursounian@sat.aphp.fr N°148 - Novembre 2005 ● 16 min de lecture
Main - Poignet - Coude Les fractures de l'épidcondyle latéral de l'humérus , B. Longis Service de Chirurgie Infantile - CHU Limoges - 87000 , Ph. Peyrou Service de Chirurgie Infantile - CHU Limoges - 87000 , Dominique Moulies Service de Chirurgie Infantile, CHU Limoges, Limoges, France N°148 - Novembre 2005 ● 13 min de lecture
Mise au point Les "fausses entorses" de l'adolescent , Dominique Moulies Service de Chirurgie Infantile, CHU Limoges, Limoges, France , Ph. Peyrou Service de Chirurgie Infantile - CHU Limoges - 87000 N°148 - Novembre 2005 ● 14 min de lecture
Actualité Le conflit antérieur de hanche. Physiopathologie, imagerie et implications thérapeutiques , Frédéric Laude Clinique Paris V, 36 boulevard Saint-Marcel, 75005 Paris, France , Alexis Nogier Institut Nollet, Clinique Maussins-Nollet, Paris , B. Roger Qatar Orthopedic and Sports Medicine Hospital, Aspetar, Doha - Qatar N°148 - Novembre 2005 ● 19 min de lecture
Technique Comment implanter une prothèse d'épaule inversée ? , Philippe Valenti Institut de la main - Clinique Jouvenet, Paris, France , D. Katz Clinique du Ter, 56270 Ploemeur - N°148 - Novembre 2005 ● 19 min de lecture
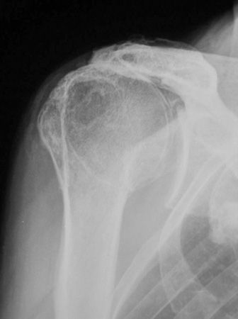
Mise au point La prothèse inversée d'épaule dans les ruptures massives et irréparables de la coiffe des rotateurs , M. Juvenspan Hôpital Saint Antoine – 75012 Paris , Geoffroy Nourissat Hôpital Saint-Antoine, 75012 Paris, France 🖂 gnourissat@wanadoo.fr , Levon Doursounian Hôpital Saint-Antoine, 75012 Paris, France 🖂 levon.doursounian@sat.aphp.fr N°148 - Novembre 2005 ● 15 min de lecture