Mise au point Stratégie diagnostique dans les pentades et les luxations du genou , Dominique Saragaglia Service de Chirurgie Orthopédique et de Traumatologie du Sport C.H.U. de Grenoble - Hôpital Sud, Grenoble, France , C. Chaussard Service de Chirurgie Orthopédique et de Traumatologie du Sport CHU de Grenoble, Hôpital Sud 38130 Echirolles N°143 - Avril 2005 ● 23 min de lecture
Main - Poignet - Coude Diagnostic et traitement des fractures fraîches de l'olécrane , Alexis Nogier Institut Nollet, Clinique Maussins-Nollet, Paris , Georges Laval Hôpitaux Universitaires Henri Mondor, AP-HP, Créteil, France , Jérôme Allain Institut Du Rachis Parisien, 59 rue Geoffroy Saint Hilaire, 75005 Paris, France 🖂 docj.allain@gmail.com N°143 - Avril 2005 ● 20 min de lecture
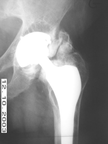
Mise au point Les ossifications péri prothétiques, la complication (un peu trop ?) oubliée , L. Vastel Centre Hospitalo-Universitaire Cochin Port-Royal Assistance Publique - Hôpitaux de Paris N°143 - Avril 2005 ● 16 min de lecture
Actualité La chirurgie du genou assistée par ordinateur : de quoi avons-nous besoin ? , Dominique Saragaglia Service de Chirurgie Orthopédique et de Traumatologie du Sport C.H.U. de Grenoble - Hôpital Sud, Grenoble, France , C. Chaussard Service de Chirurgie Orthopédique et de Traumatologie du Sport CHU de Grenoble, Hôpital Sud 38130 Echirolles N°143 - Avril 2005 ● 14 min de lecture