Biomécanique Pourquoi la ténolyse du tendon du Flexor Hallucis Longus associée à la ligamentoplastie du croisé antérieur peut améliorer l’équilibre dynamique et le bien-être du patient , Theresa Olden Centre Orthopédique d’Ouchy, Lausanne, Suisse 🖂 theresa.olden@icloud.com , Jacques Vallotton Av. du Servan 4, 1006 Lausanne, Suisse N°309 - Décembre 2021 ● 24 min de lecture
Littérature Comment réussir ses arthroscopies de genou ? , Olivier Courage Hôpital privé de l’Estuaire, 505 rue Irène Joliot-Curie, BP 90011, 76620 Le Havre, France 🖂 o.courage@wanadoo.fr , Simon Bertiaux Hôpital Privé de l’Estuaire, 505 rue Irène Joliot Curie, 76600 Le Havre, France / , P. Papin Ambérieu - N°309 - Décembre 2021 ● 4 min de lecture
Histoire Aux grand hommes, la patrie reconnaissante : Xavier Bichat (1771-1802) , Michel-Marc Gentilhomme N°309 - Décembre 2021 ● 7 min de lecture
Mise au point Conflit fémoro-acétabulaire : quelle place pour la chirurgie à ciel ouvert ? , Morgan Gauthier Service d’orthopédie et traumatologie de l’appareil moteur, Hôpitaux Universitaires de Genève, Suisse , Simon Damian Steppacher Service d’orthopédie et traumatologie de l’appareil moteur, Inselspital, Université de Berne, Suisse , Klaus Siebenrock Service d’orthopédie et traumatologie de l’appareil moteur, Inselspital, Université de Berne, Suisse , Didier Hannouche Service d’orthopédie et traumatologie de l’appareil moteur, Hôpitaux Universitaires de Genève, Suisse N°309 - Décembre 2021 ● 18 min de lecture
Tribune Logiciel SOS™ ou le « compagnon » idéal des internes dans le recueil de données ? , Maxime Laporte Institut de Chirurgie Euratlantique de l'Epaule, Clinique Sainte Anne, Langon, France 🖂 drmaximelaporte@runbox.com N°309 - Décembre 2021 ● 8 min de lecture
Technique Voie d’abord préservant le deltoïde et le sous-scapulaire pour la mise en place de prothèses inversées Technique chirurgicale et résultats préliminaires , Adrien Jacquot Centre ARTIC.S, Chirurgie des Articulations et du Sport, Clinique Louis Pasteur, Essey-lès-Nancy, France , Thomas Cuinet Centre ARTIC.S, Chirurgie des Articulations et du Sport, Clinique Louis Pasteur, Essey-lès-Nancy, France N°309 - Décembre 2021 ● 21 min de lecture
Médico-légal La chirurgie des temps modernes, une chirurgie à risque , Nicolas Chanzy Chirurgien-orthopédiste conseil, MACSF, Paris, France 🖂 chanzy.nicolas@wanadoo.fr N°309 - Décembre 2021 ● 4 min de lecture
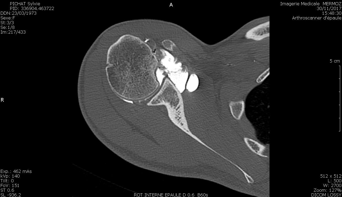
Mise au point Résultats et facteurs pronostiques des luxations postérieures de l’épaule , Arnaud Godenèche Centre orthopédique Santy, Hôpital Privé Jean Mermoz, Lyon, France , Steven Roulet Centre de l’épaule et de la main du Dauphiné-Groupe Elsan, Clinique Belledonne, St Martin d’Hères N°309 - Décembre 2021 ● 12 min de lecture