Technique Réflexion sur la théorie de l’Embrochage Centro-Médullaire Elastique Stable (ECMES) , Jean-Paul Métaizeau Hôpital Belle-Isle, Metz, France , Delphy Denis Service de Chirurgie Orthopédique Infantile CHU Dijon, Dijon, France N°278 - Novembre 2018 - Cahier 2 ● 5 min de lecture
Technique La voie antéro médiale de la hanche chez l'adulte , Philippe Chiron Hôpital Pierre-Paul Riquet, Toulouse, France , Jérôme Murgier Département Orthopédie Traumatologie - CHU Toulouse - France N°278 - Novembre 2018 - Cahier 2 ● 10 min de lecture
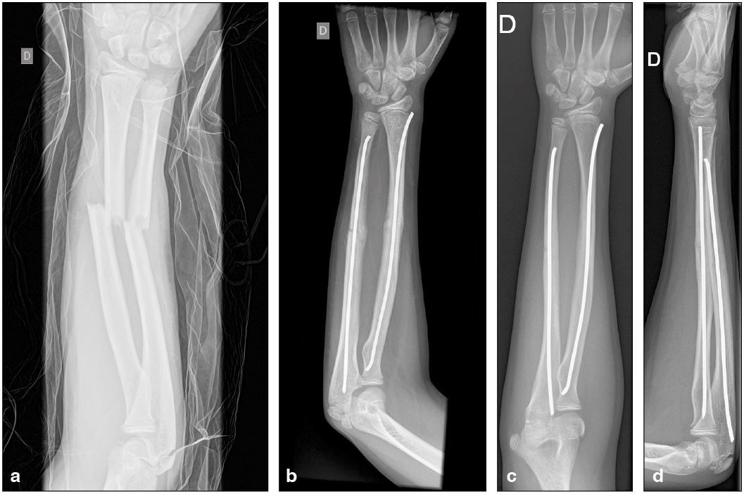
Technique ECMES : Master technique en 10 points , Pierre Lascombes N°278 - Novembre 2018 - Cahier 2 ● 6 min de lecture
Histoire ETIENNE DESTOT 1864-1918. Premier Radiologue OSTEO ARTICULAIRE. Premier Radiologue Lyonnais et Précurseur de la gestion des risques en Chirurgie , Jacques Caton Centre Hospitalier Saint-Joseph et Saint-Luc, 9 rue du Professeur Grignard, Lyon, France N°278 - Novembre 2018 - Cahier 2 ● 10 min de lecture
Technique Chirurgie de la paroi thoracique antérieure : pectus carinatum et excavatum , Pierre Lascombes , Jim Wilde Service de chirurgie pédiatrique / , Isabelle Ruchonnet-Métrailler Unité de pneumologie pédiatrique, Hôpitaux Universitaires de Genève, Genève, Suisse N°278 - Novembre 2018 - Cahier 2 ● 15 min de lecture
Mise au point Gravité et croissance , Cyrille Cazeau Hôpital Hôtel-Dieu, 1 place du Parvis de Notre-Dame, 75004 Paris, France N°278 - Novembre 2018 - Cahier 2 ● 39 min de lecture