Biomécanique Analyse biomécanique d'une spécificité de la bipédie humaine : la mise en flexion dorsale de la cheville lors de l'appui , Cyrille Cazeau Hôpital Hôtel-Dieu, 1 place du Parvis de Notre-Dame, 75004 Paris, France N°166 - Août 2007 ● 14 min de lecture
Actualité Evaluation cinématique et dynamique de la marche et après une prothèse totale de cheville chez les patients porteurs d'une arthrose talo-crurale , Philippe Piriou Clinique du Parc, 6 avenue du Morvan, 71400 Autun, France 🖂 pr.piriou@orange.fr , Grégory Sorriaux Clinique Jouvenet, Paris, France , Thierry Judet N°166 - Août 2007 ● 13 min de lecture
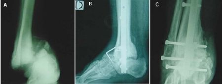
Technique Comment je fais une arthrodèse tibio-talo-calcanéenne par clou rétrograde ? , Olivier Laffenêtre Groupe de Recherche et d'Etude en Chirurgie Mini-Invasive du Pied, 33700 Merignac, France , GD. Solofomalala CHU Pellegrin – Bordeaux – France , L. Villet CHU Pellegrin – Bordeaux – France , Dominique Chauveaux CHU Pellegrin, Bordeaux, France N°166 - Août 2007 ● 16 min de lecture