Mise au point Démarche diagnostique devant une image osseuse d'allure tumorale , Philippe Anract Hôpital Cochin, Paris, France , Bernard Tomeno Hôpital Cochin, Paris, France N°136 - Août 2004 ● 15 min de lecture
Mise au point Prise en charge des sarcomes des tissus mous , Antoine Babinet Hôpital Cochin, Paris, France N°136 - Août 2004 ● 10 min de lecture
Histoire De la luxation du pouce en arrière par Louis Hubert Faraboeuf , M. Guivarc'h par le Dr L.-M. Farabeuf - Prosecteur à la Faculté Société de Chirurgie - Séance du 12 janvier 1876 N°136 - Août 2004 ● 17 min de lecture
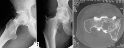
Pédagogie Conduite à tenir devant une tumeur à cellules géantes , Bernard Tomeno Hôpital Cochin, Paris, France N°136 - Août 2004 ● 16 min de lecture