Technique Fractures proximales de l'humérus et Telegraph , Christian Cuny Service d’Orthopédie Traumatologie, CHR Metz Bon-Secours, 57038 Metz, France N°122 - Mars 2003 ● 13 min de lecture
Technique Comment je pose un clou Telegraph , Christian Cuny Service d’Orthopédie Traumatologie, CHR Metz Bon-Secours, 57038 Metz, France N°122 - Mars 2003 ● 8 min de lecture
Congrès - Compte rendu Fractures de Montegglia à déplacement postérieur opérées , D. Ring Massachusetts General Hospital Boston, MA , J. Tavakolian Massachusetts General Hospital Boston, MA , P. Kloen Hospital for Special Surgery New-York, NY , D. Helfet Hospital for Special Surgery New-York, NY , Jesse Jupiter Massachusetts General Hospital, Boston, MA, Etats-Unis N°122 - Mars 2003 ● 13 min de lecture
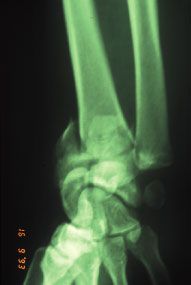
Congrès - Compte rendu Ostéotomie précoce des cals vicieux articulaires de l'extrémité distale du radius , Ph. Saffar Institut Français de Chirurgie de la Main - France , S. Romano Institut Français de Chirurgie de la Main - Paris N°122 - Mars 2003 ● 10 min de lecture