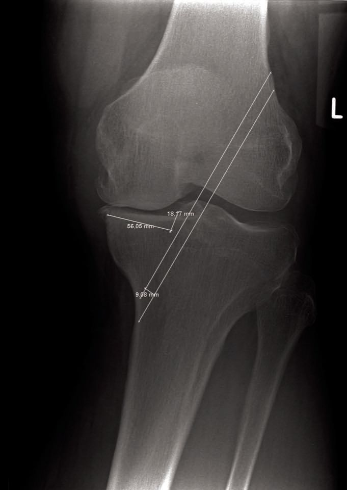
Technique Comment réduire une fracture du plateau tibial externe avec un ballonnet, en percutané , Frédéric Jacquot Pôle Appareil Locomoteur, Hôpital Saint Antoine, 184 rue du Faubourg Saint Antoine, 75012 Paris, France N°273 - Avril 2018 ● 5 min de lecture
Technique La voie sub vastus latérale pour l’arthroplastie totale du genou : une réadaptation plus rapide , Yves Vanderschelden Clinique de la Côte d'Émeraude, Saint Malo, France N°272 - Mars 2018 ● 12 min de lecture
Technique Comment faire une butée postérieure acromiale pédiculée Note technique de l’Arthro-Kouvalchouk , Pierre Métais Hôpital privé la Châtaigneraie, Beaumont, France N°271 - Février 2018 ● 10 min de lecture
Technique Technique endoscopique de la ténotomie ilio-psoas à hauteur du petit trochanter dans le conflit psoas-cupule prothétique , Augustin Le Viguelloux Lyon Ortho Clinic, clinique de la Sauvegarde, 29B avenue des Sources, 69009 Lyon , Willaume Guicherd Lyon-Ortho-Clinic, Clinique de la Sauvegarde, Lyon, France , Nicolas Bonin Lyon-Ortho-Clinic, Lyon, France N°271 - Février 2018 ● 12 min de lecture
Technique Latarjet-Bankart arthroscopique avec un ancillaire glénoïdien et coracoïdien et une fixation par double endo-bouton cortical : Résultats cliniques et scanner des 46 premiers cas , Philippe Valenti Institut de la main - Clinique Jouvenet, Paris, France , Marco Cartaya Institut Parisien de l’Epaule , Jean-David Werthel Hôpital Ambroise Paré, Paris, France N°271 - Février 2018 ● 15 min de lecture
Technique Pourquoi et comment nous resurfaçons la rotule , Myles Coolican Sydney Orthopaedic Research Institute (SORI), Sydney, Australia / , Thomas Neri Service de chirurgie orthopédique, CHU Saint-Etienne, Saint-Etienne, France N°270 - Janvier 2018 ● 6 min de lecture
Technique Arthrolyse arthroscopique pour raideur sur prothèse totale du genou , François Kelberine Pôle Aixois de Chirurgie Articulaire et Sportive (PACAS) - Clinique Provençale Parc Rambot, Aix en Provence, France 🖂 fkelberine@pacas.fr , Jean-Philippe Vivona Pôle Aixois de Chirurgie Articulaire et Sportive (PACAS) - Clinique Provençale Parc Rambot, Aix en Provence, France N°270 - Janvier 2018 ● 8 min de lecture
Technique Comment je réalise une prothèse unicompartimentale latérale du genou à plateau fixe , Anders Troelsen Hôpital Universitaire de Hvidovre, Copenhague, Danemark N°270 - Janvier 2018 ● 12 min de lecture
Technique Butée d'épaule selon Latarjet par technique hybride , Jean-Charles Grillo Centre intercommunal Toulon la Seyne, 83100 Toulon, france 🖂 jean-charles.grillo@ch-toulon.fr , Damien Lami Institut du Mouvement et de l'Appareil locomoteur, Assistance Publique des Hôpitaux de Marseille, Aix-Marseille Université, Marseille, France , Pauline Mathon Institut du Mouvement et de l'Appareil locomoteur, Assistance Publique des Hôpitaux de Marseille, Aix-Marseille Université, Marseille, France N°269 - Décembre 2017 ● 11 min de lecture
Technique Technique chirurgicale de la ligamentoplastie du LCA intra et extra articulaire aux tendons ischio-jambiers , Thomas Cucurulo ICOS13, 463 rue Paradis, 13008 Marseille , Abdou Sbihi Centre Borely-Mermoz, Hôpital de la Conception, Marseille, France , M. Louis Bazy Publiés chaque semaine par M. Louis Bazy, Secrétaire général, MM. Henri Mondor et Louis Houdard, Secrétaires annuels Tome 64 – N° 26 , Jaafar Sbihi ICOS13, 463 rue Paradis, 13008 Marseille, France 🖂 secretariat@icos13.com , J.-P. Franceschi : CCOS Mérignac ° : Institut de l'appareil locomoteur Nollet, Paris N°269 - Décembre 2017 ● 12 min de lecture
Technique Bikini et voie de Hueter , Frédéric Laude Clinique Paris V, 36 boulevard Saint-Marcel, 75005 Paris, France N°268 - Novembre 2017 - Cahier 2 ● 8 min de lecture
Technique Reconstruction arthroscopique du ligament croisé antérieur par tendon quadricipital autologue , Victoria B. Duthon Centre de Médecine du Sport et de l’Exercice - Hirslanden Clinique de la Colline 76b avenue de la Roseraie - 1205 Genève - tel : +41 22 702 25 41 ema , Jacques Menetrey Centre de Médecine du Sport et de l’Exercice - Hirslanden Clinique de la Colline, 76b avenue de la Roseraie, Genève, Suisse N°268 - Novembre 2017 - Cahier 2 ● 8 min de lecture
Technique Comment je réalise une infiltration du site chirurgical avec des anesthésiques locaux , Yves Michaud Hôpital Schweitzer, Colmar, France 🖂 ymichaud@wanadoo.fr , Denis Jochum Hôpital Schweitzer, Colmar, France N°268 - Novembre 2017 - Cahier 1 ● 6 min de lecture
Technique Technique de Reconstruction Cotyloïdienne par armature de Kerboull et allogreffe , Luc Kerboull Espace Médical Vauban, Paris, France , Moussa Hamadouche Centre Hospitalo-Universitaire Cochin Port-Royal - Hôpitaux de Paris, Paris, France , Marcel Kerboull Centre Hospitalo-Universitaire Cochin Port-Royal, Assistance Publique - Hôpitaux de Paris, Paris, France N°268 - Novembre 2017 - Cahier 1 ● 17 min de lecture
Technique La navigation en « un temps » des infections sur prothèses du genou : une stratégie gagnante , Gérard Giordano Service de chirurgie orthopédique, Hôpital Joseph Ducuing, Toulouse, France 🖂 ortho.giordano@gmail.com , Bernard Stulberg St Vincent Medical Center, Cleveland, OH, Etats-Unis , James Huddleston Université de Stanford, Stanford, CA, USA N°267 - Octobre 2017 ● 15 min de lecture
Technique Comment je réussis une ostéotomie périacétabulaire par voie mini-invasive , Manuel Ribas ICATME Foundation, University Hospital Dexeus (Quironsalud hospitales), Barcelone, Espagne N°266 - Août/Septembre 2017 ● 15 min de lecture