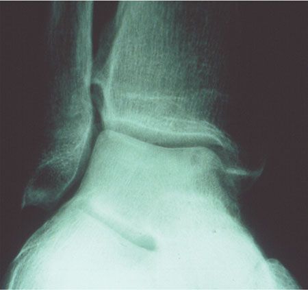
Mise au point Les lésions ostéochondrales du dôme du talus , Jean-François Kouvalchouk Hôpital Foch, Suresnes, France , Jacques Rodineau 3, avenue Bugeaud, 75116 Paris, France N°138 - Novembre 2004 ● 35 min de lecture
Pédagogie Les séquelles des entorses externes de la cheville , Jacques Rodineau 3, avenue Bugeaud, 75116 Paris, France , E. Rolland Service de Chirurgie Othopédique Hôpital de la Pitié 75013 Paris , S. Besch SAU Hôpital de la Pitié 75013 Paris , Jean-François Kouvalchouk Hôpital Foch, Suresnes, France N°138 - Novembre 2004 ● 9 min de lecture
Table ronde La ténorraphie percutanée du tendon d'achille (le point de vue de J.F.Koulvachouk) , Jean-François Kouvalchouk Hôpital Foch, Suresnes, France , P. Delponte Hôpital Foch, Suresnes, France , Paul Bonnevialle Centre Hospitalier Universitaire de Toulouse, Toulouse, France N°45 - Juin 1995 ● 13 min de lecture