Profession Modèle économique de la chirurgie robotique en privé , Bruno Miletic Hôpital privé de Villeneuve d’Ascq, 59650 Villeneuve d’Ascq , Florian Boureau Alpilles Luberon Orthopédie, 1037 Av. Pierre Mendès France, 84300 Cavaillon, France 🖂 docteur.boureau@gmail.com , Christophe Trojani Service de Chirurgie Orthopédique et Traumatologie du Sport - Hôpital de l’Archet 2 - CHU de Nice, Nice, France N°347 - Octobre 2025 ● 13 min de lecture
Congrès SFHG 2025 État des lieux en France : enquête SFHG robot/navigation/réalité augmentée mars 2025
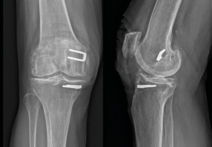
Technique Prothèse totale de genou avec matériel en place , Florian Boureau Alpilles Luberon Orthopédie, 1037 Av. Pierre Mendès France, 84300 Cavaillon, France 🖂 docteur.boureau@gmail.com N°322 - Mars 2023 ● 11 min de lecture