21èmes Journées Lyonnaises de Chirurgie du Genou - 2024 Mon protocole post-opératoire : UK octobre 2024
21èmes Journées Lyonnaises de Chirurgie du Genou - 2024 Technique chirurgicale : Lemaire modifié octobre 2024
17èmes Journées Lyonnaises de Chirurgie du Genou - 2016 Ligament antéro-latéral : une histoire controversée septembre 2016
17èmes Journées Lyonnaises de Chirurgie du Genou - 2016 Vidéos : Techniques chirurgicales septembre 2016
17èmes Journées Lyonnaises de Chirurgie du Genou - 2016 Retour au sport : Reprise du sport à haut niveau septembre 2016
17èmes Journées Lyonnaises de Chirurgie du Genou - 2016 Comment je fais ? - Choix de la greffe, tunnel tibial, tunnel fémoral, fixation septembre 2016
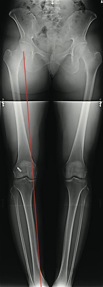
Actualité Gestion des tunnels osseux pour les reconstructions itératives du LCA Quelle stratégie ? , Andy Williams Fortius Clinic, Londres, Angleterre N°256 Cahier 1 - Août/Septembre 2016 ● 14 min de lecture