Profession A propos de "Réflexions sur l'idée nouvelle" de Alain C. Masquelet , Levon Doursounian Hôpital Saint-Antoine, 75012 Paris, France 🖂 levon.doursounian@sat.aphp.fr N°280 - Janvier 2019 ● 6 min de lecture
Profession Réflexions sur l'idée nouvelle , Alain-Charles Masquelet Hôpital Saint Antoine, Paris VI, France N°280 - Janvier 2019 ● 12 min de lecture
Actualité L’implantation d’une tige courte fémorale est-elle envisageable chez le patient obèse ? , Sabine Mai Vitos Orthopädische Klinik Kassel, Kassel, Allemagne , Werner Siebert Clinique Orthopédique Vitos, Kassel, Allemagne N°280 - Janvier 2019 ● 7 min de lecture
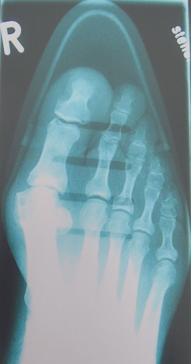
Mise au point Le syndrome de la chaussure de Cendrillon , Harald Kuhn St. Franziskus Hospital Lohne, Lohne, Allemagne N°280 - Janvier 2019 ● 13 min de lecture
Mise au point Traitement personnalisé des fractures du col du fémur : le concept de Wiesbaden , Michael Schneider Orthopädische Klinik im St. Josefs-Hospital, Wiesbaden, Allemagne 🖂 mschneider@joho.de , Karl Philipp Kutzner St. Josefs Hospital, Wiesbaden, Germany , Alexander Walz Clinic for Orthopedics and Traumatology; St. Josefs Hospital Wiesbaden, Germany , Yves Gramlich Clinic for Orthopedics and Traumatology; St. Josefs Hospital Wiesbaden, Germany , Joachim Pfeil Orthopädische Klinik im St. Josefs-Hospital, Wiesbaden, Allemagne 🖂 pfeiljo@joho.de N°280 - Janvier 2019 ● 10 min de lecture
Technique Tiges courtes guidées par l’éperon de Merkel : un tournant dans la prothèse totale de hanche moderne , Karl Philipp Kutzner St. Josefs Hospital, Wiesbaden, Germany , Joachim Pfeil Orthopädische Klinik im St. Josefs-Hospital, Wiesbaden, Allemagne 🖂 pfeiljo@joho.de N°280 - Janvier 2019 ● 14 min de lecture
Histoire Les fractures du col du fémur en 1880 , Adolphe Richard Hôpital Beaujon, Clichy, France N°280 - Janvier 2019 ● 10 min de lecture