Congrès - Compte rendu Brièveté des gastrocnémiens : compte-rendu du symposium. Congrès SFMCP - AFCP Toulouse juin 2006 , Louis Samuel Barouk Bordeaux, France , Pierre Barouk Clinique du Sport de Bordeaux-Mérignac, 4 Rue Georges Nègrevergne, 33700 Mérignac, France N°159 - Décembre 2006 ● 24 min de lecture
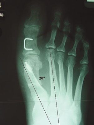
Mise au point Réflexions autour de la chirurgie percutanée de l'hallux valgus , M. Benichou Montpellier N°159 - Décembre 2006 ● 10 min de lecture
Biomécanique Analyse des conséquences biomécaniques de la briéveté du gastrocnémien sur l'avant-pied , Cyrille Cazeau Hôpital Hôtel-Dieu, 1 place du Parvis de Notre-Dame, 75004 Paris, France , Y. Stiglitz , Louis Samuel Barouk Bordeaux, France , Pierre Barouk Clinique du Sport de Bordeaux-Mérignac, 4 Rue Georges Nègrevergne, 33700 Mérignac, France N°159 - Décembre 2006 ● 10 min de lecture
Technique Traitement chirurgical de l'hallux valgus par mini-abord , M. Benichou Montpellier N°159 - Décembre 2006 ● 10 min de lecture