Mise au point L'instabilité du carpe , Ph. Saffar Institut Français de Chirurgie de la Main - France N°73 - Avril 1998 ● 24 min de lecture
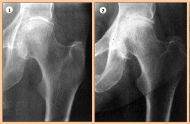
Mise au point Coxarthrose destructrice rapide , J. Blanchard Service d'orthopédie et traumatologie de l'appareil Locomoteur - Lausanne , P.-F. Leyvraz Service d'orthopédie et traumatologie de l'appareil Locomoteur - Lausanne N°73 - Avril 1998 ● 11 min de lecture