Technique Les nouvelles pratiques de thromboprophylaxie dans le cadre de la récupération améliorée après chirurgie (RAAC) après prothèse de hanche et de genou , Jean-Yves Jenny Hôpitaux Universitaires de Strasbourg, Strasbourg, France N°350 - Janvier 2026 ● 27 min de lecture
Actualité Variations de l’offset acétabulaire entre planification pré opératoire (mediCAD©) et mesure radiographique post opératoire , Anatole MATRAY Department of Orthopaedic surgery, CHU de Poitiers, Poitiers, France , Clément CAZEMAJO Department of Orthopaedic surgery, CH La Rochelle, La Rochelle, France , Mathieu Severyns Centre Sablais de l’Appareil Locomoteur, Clinique Porte Océane, Les Sables d’Olonne, France 🖂 mathieu.severyns@hotmail.fr N°350 - Janvier 2026 ● 17 min de lecture
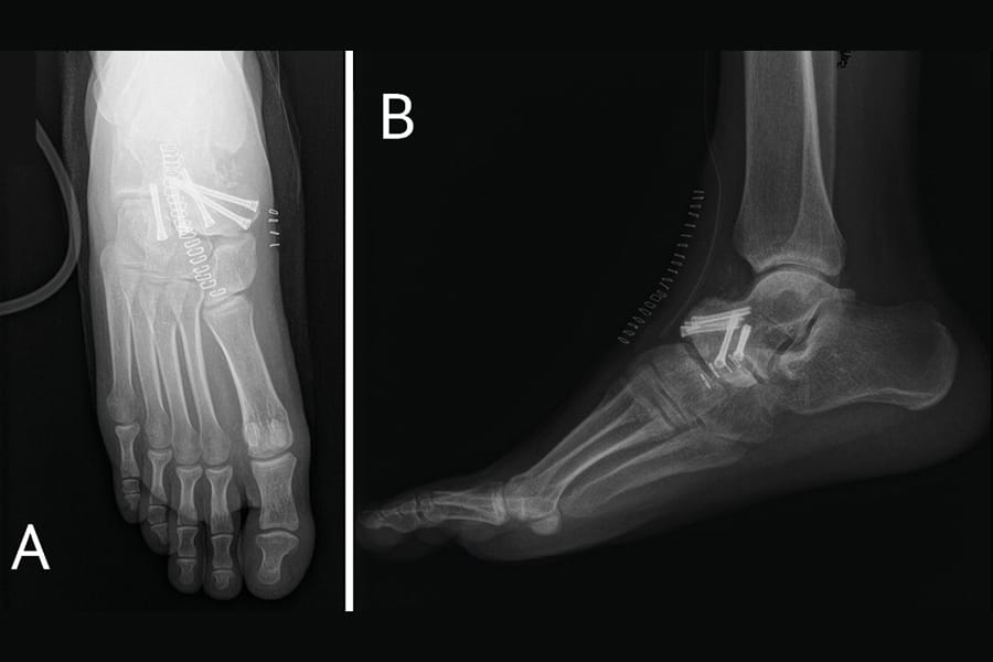
Coin de l'interne Arthrodèse isolée de la talo-naviculaire indications, technique chirurgicale et pièges , Marion Di Schino Cabinet SPORTHO 30, Nîmes, France N°350 - Janvier 2026 ● 10 min de lecture
Médico-légal La Haute Autorité de Santé ne dit pas que des âneries ! La check-list « Sécurité du Patient » : une minute pour éviter des années de procédure , Nicolas Chanzy Chirurgien-orthopédiste conseil, MACSF, Paris, France 🖂 chanzy.nicolas@wanadoo.fr N°350 - Janvier 2026 ● 3 min de lecture
Technique Radiographie et chirurgie conservatrice de la hanche , François Fauré Département de chirurgie orthopédique et de médecine du sport, Centre médical d'excellence de la FIFA, Hôpital de la Croix-Rousse, CHU de Lyon, Lyon , Willaume Guicherd Lyon-Ortho-Clinic, Clinique de la Sauvegarde, Lyon, France , Nicolas Bonin Lyon-Ortho-Clinic, Lyon, France N°350 - Janvier 2026 ● 12 min de lecture
Technique Disjonctions acromio-claviculaires chroniques , Jean Kany Clinique de l’Union, Saint-Jean, France , Grégoire Ciais Clinique du Sport - Bordeaux-Mérignac, Mérignac, France N°350 - Janvier 2026 ● 10 min de lecture
Mise au point Le parcours de l'échantillon dans les infections sur implant orthopédique : du bloc opératoire au laboratoire de microbiologie , Fabiana Giarritiello Université de Molise, Campobasso, Italie , Lorenzo Drago Clinical Microbiology, Department of Biomedical Sciences for Health, University of Milan, 20100 Milano, Italie 🖂 lorenzo.drago@unimi.it , Giulio Bonomo Université de Médecine et Pharmacie Victor Babes, Timisoara, Roumanie , Maria Paola Bonomo Université de Médecine et Pharmacie Victor Babes, Timisoara, Roumanie , Carlo Luca Romanò Studio Medico Cecca-Romano – Corso Venezia, 2 20121 Milano, Italy N°350 - Janvier 2026 ● 29 min de lecture