Mise au point Les voies d’abord antérieures de l’acétabulum , Guillaume Sam-Wing CHU Limoges, 2, avenue Martin Luther King 87042 Limoges, France , Jérémy Hardy CHU Limoges, 2, avenue Martin Luther King 87042 Limoges, France , Guillaume Riouallon Hôpital Saint Joseph 185 rue Raymond Losserand - 75674 Paris cedex 14 , Pierre-Sylvain Marcheix CHU Limoges, 2, avenue Martin Luther King 87042 Limoges, France N°338 - Novembre 2024 ● 17 min de lecture
Mise au point Balance ligamentaire et alignement, quels objectifs prioriser lors de la pose d’une prothèse totale de genou de 1ère intention ? , Olivier Barbier Hôpital d'Instruction des Armées Saint-Anne, Toulon, France , Jean-Marc Puch Clinique St George, Nice, France 🖂 docteurjmpuch@gmail.com , Omar Naji Clinique Via Domitia, 390 chemin des Alicantes, 34400, Lunel, France , Gérard Giordano Service de chirurgie orthopédique, Hôpital Joseph Ducuing, Toulouse, France 🖂 ortho.giordano@gmail.com N°338 - Novembre 2024 ● 38 min de lecture
Technique Reconstructions acétabulaires par implants 3D fabriqués sur mesure par technologie additive , Gérard Giordano Service de chirurgie orthopédique, Hôpital Joseph Ducuing, Toulouse, France 🖂 ortho.giordano@gmail.com N°338 - Novembre 2024 ● 30 min de lecture
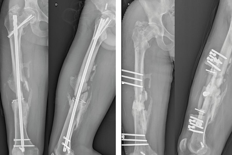
Technique Pseudarthrose du fémur ou du tibia : prise de greffe avec le système RIA sur l’os pseudarthrose , Marie Le Baron Hôpital Nord, APHM, Chemin des Bourrely 13000 Marseille, France 🖂 marie.lebaron@ap-hm.fr , Pascal Maman Hôpital Nord, APHM, Chemin des Bourrely 13000 Marseille, France , Richard Volpi Hôpital Nord, APHM, Chemin des Bourrely 13000 Marseille, France , Xavier Flecher Hôpital Sainte Marguerite, Université Aix-Marseille II, Marseille, France N°338 - Novembre 2024 ● 19 min de lecture
Médico-légal Coup de gueule d’un expert , Nicolas Chanzy Chirurgien-orthopédiste conseil, MACSF, Paris, France 🖂 chanzy.nicolas@wanadoo.fr N°338 - Novembre 2024 ● 2 min de lecture
Technique La « skyline brestoise », outil de vérification des résections osseuses tibiales et fémorales dans les prothèses unicompartimentales médiales , Victoria L’Hourre CHU Brest, Hôpital de la Cavale Blanche, Boulevard Tanguy Prigent, 29200 Brest, France , Antoine Bossée-Pilon CHU Brest, Hôpital de la Cavale Blanche, Boulevard Tanguy Prigent, 29200 Brest, France , Emeline Chapron CHU Nîmes Carémeau, 4 rue du Professeur Robert Debré, 30900 Nîmes, France , Frédéric Dubrana CHU Brest, Hôpital de la Cavale Blanche, Boulevard Tanguy Prigent, 29200 Brest, France N°338 - Novembre 2024 ● 10 min de lecture
Actualité De l’intérêt de se préoccuper du revêtement de surface des tiges courtes , Frédéric Laude Clinique Paris V, 36 boulevard Saint-Marcel, 75005 Paris, France , Marie Roxana Viamont Hospital Israelita Albert Einstein São Paulo, Brasil , Christian Matar Universitätsklinikum Düsseldorf, Düsseldorf, Germany N°338 - Novembre 2024 ● 22 min de lecture
Technologie Développement d’une technologie d’implantation des prothèses totales de genou basée sur la balance ligamentaire , Laurent Angibaud Exactech, Gainesville, FL, USA , Prudhvi Chinimilli Exactech, Gainesville, FL, USA , Matt Rueff Exactech, Gainesville, FL, USA , Francois Boux de Casson Blue-Ortho, Meylan, France , Omar Naji Clinique Via Domitia, 390 chemin des Alicantes, 34400, Lunel, France , James Huddleston Université de Stanford, Stanford, CA, USA N°338 - Novembre 2024 ● 22 min de lecture
Technique Interaction entre ligament croisé antérieur et pente tibiale : quelle place pour l’ostéotomie sagittale ? , David Mazy Département de chirurgie orthopédique, Lyon Ortho Clinic, Clinique de la Sauvegarde, 29 Avenue des Sources, 69009 Lyon, France 🖂 david.mazy27@gmail.com , Chiara Biatti Département de chirurgie orthopédique, Lyon Ortho Clinic, Clinique de la Sauvegarde, 29 Avenue des Sources, 69009 Lyon, France , Simone Romano Département de chirurgie orthopédique, Lyon Ortho Clinic, Clinique de la Sauvegarde, 29 Avenue des Sources, 69009 Lyon, France , Guillaume Demey Lyon Ortho Clinic - Clinique de la Sauvegarde, 29B avenue des Sources, 69009 Lyon, France , David Dejour Lyon-Ortho-Clinic - Clinique de la Sauvegarde, 8, avenue Ben Gourion, 69009 Lyon, France 🖂 dejour.secretariat@lyon-ortho-clinic.com N°338 - Novembre 2024 ● 27 min de lecture